







癒しと美容が詰まった天然温泉で日頃の疲れをリフレッシュ
露天風呂には四季折々の花が咲き、女性専用のリラックスルームには美容アメニティが充実。甘味処・お食事処、リラクゼーションも5種を取り揃えたワンランク上のサービスを提供する温浴施設となっております。




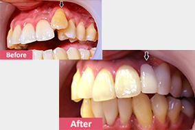
経験豊富な矯正専門の認定医がお口の健康と美しさをサポート
矯正治療の開始に遅すぎることはありません。周囲に気づかれたくないという悩みも裏側矯正によって解決できます。院長は矯正歯科医として30年以上経験し、数々の症例を治療しています。料金等詳細はHPをご覧ください。




TVにも取り上げられた話題のストレッチ専門店です。
ストレッチはコリや疲労を回復する効果はもちろん、姿勢が悪い方(猫背など)にもオススメ!姿勢を保つための筋肉を強くします。




TVにも取り上げられた話題のストレッチ専門店です。
ストレッチはコリや疲労を回復する効果はもちろん、姿勢が悪い方(猫背など)にもオススメ!姿勢を保つための筋肉を強くします。




今なら1週間お試しキャンペーン中!
バナジウムをより効果的に吸収性するオリジナルの独自製法で日本予防医学行政審議会の推奨・認定をいただいております。




女性専用サロン リンパの流れをよくすることで自然治癒力を呼び起こします。
リンパの流れの停滞は冷え、むくみ、さらに怖いセルライト激増(> <)につながります。




ダイエット&デトックスに!ファスティング・スクール募集中
人気のファスティングスクール以外に、ルネサンス海老名では【ゆるメニュー】から【しっかりメニュー】まで、あなた専用のメニューを専門のトレーナーがご提案します。




思い通りの口元に!あなたの為の完全オーダーメイド治療を提供いたします。
担当の女医が直接カウンセリングさせて頂きます。ホワイトニング(1時間)¥15,000(税別)/クリーニング(30分)¥3,800(税別)/歯ぐきをピンク色に(30分)¥4,800(税別)~
上記施術は1回で終わります。セラミックは素材により価格が異なりますのでHPをご覧下さい。
健康な身体を目指して!ニューライフがあなたをサポートします!
超短波、遠赤外線、整体、骨盤調整などのコースをご用意。まずはカウンセリングから!貴方にフィットする施術を行います。施術後は身体に優しいお茶や水でほっと一息していただき、お客様の状態、今後の対策などを丁寧にご説明します。なんなりとご相談ください。